Your overall health includes your oral health. If you suffer from a dental issue, you must get immediate treatment for it before it leads to a digestive issue, cardiovascular disease, and respiratory infections. Tooth loss is considered a dental issue. Not replacing the tooth that you lost can lead to further issues with the rest of your teeth, such as tooth decay, tooth loss, and misaligned bite.
By sticking to good dental care for your family in Tampa and replacing your missing tooth, you can restore the function of your tooth. Also, this minimizes your risk of some health complications and helps maintain the structure of your facial. Once you get the right tooth replacement, you will have renewed self-confidence and improved quality of life. However, which replacement option should you opt for? Should you get dental implants or dentures?
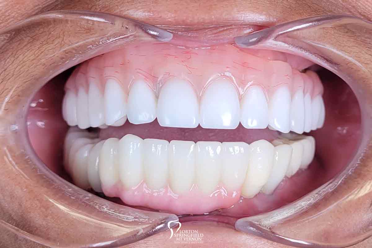
The right tooth replacement for you depends on some factors. Dental implants stand out when it comes to stability, durability, comfort, and even aesthetics. However, if you want an immediate, affordable solution, you should consider getting dentures. Here are some factors you should consider to make your choice:
The Procedure Involved
Dental implants are surgically screwed into your jawbone. They fuse with your jawbone after a certain period, giving a prosthetic tooth a secure anchor. Meanwhile, dentures are fabricated, not surgically placed.
Time
Getting dental implants is not a one-time process. Once your dentist places your implants, they are allowed to fuse with the jawbone, which can at least 6 months. If you have sufficient bone density, you may need to undergo a bone graft procedure before the implant is placed, which adds more time to the implant process. It can take at least one year to complete the entire process. But the process to get dentures can take just weeks or months.
Benefits to Health
A dental implant replaces the entire tooth, which significantly affects your oral health and overall health as well as appearance. If you have a missing tooth, your jawbone starts to shrink. This can happen quickly and causes your remaining natural teeth to shift toward the gap and loosen. Over time, the shape of your face can change. By replacing the missing root of your tooth, your jawbone continues to get the stimulation it needs to grow. Also, getting an implant helps maintain your oral health and appearance.
Cost
A dental implant is more expensive than a denture. However, if you want to replace an entire arch of your teeth, 4-6 dental implants will be enough for this. This will provide you with the same benefits without paying for the cost of individual implants. Dentures are more affordable, but you may need to get them adjusted or repaired frequently.
